Surgical Treatment

Impaction / Wisdom Tooth Removal
Safe and painless removal of impacted wisdom teeth to prevent pain and infection.

Cyst Removal
Precise surgical removal of oral cysts to protect jaw and surrounding tissues.

Frenectomy
Quick and gentle procedure to release tight frenum for better oral function.

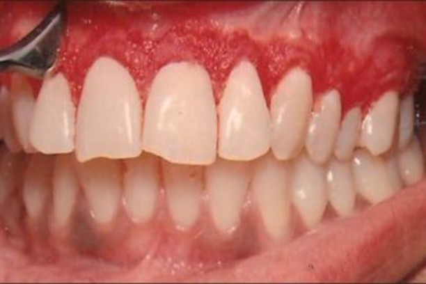
Flap Surgery
Advanced gum surgery to treat periodontal disease and restore gum health.

Implants
Permanent, natural-looking replacement for missing teeth using dental implants.

Pre-Prosthetic Surgery
Preparatory procedures to create a strong foundation for dental prosthetics.

Gingivectomy
Surgical reshaping of gum tissue for healthier and more aesthetic smiles.

Crown Lengthening
Exposure of more tooth structure for improved restoration and smile appearance.

Bone Grafting
Restoration of lost bone to support dental implants and overall oral health.